Implanty All-on-X Warszawa

Zęby na implantach.

Najlepsza metoda leczenia dla pacjentów z bardzo zniszczonymi zębami, poważnymi brakami zębowymi lub całkowitym bezzębiem.

Implanty zębowe pozwalają pacjentom odzyskać pewność siebie i szeroki uśmiech. Dzięki metodzie All-on-X jest to możliwe, nawet gdy doszło do poważnych zniszczeń oraz braków zębowych. Można ją z powodzeniem stosować także u osób z całkowitym bezzębiem. Tylko ten rodzaj implantów sprawi, że szybko pożegnają tradycyjną protezę. Zamiast tego pacjenci zyskają dopasowane do nich stałe zęby, gwarantujące komfort nie tylko podczas jedzenia. Implanty All-on-X oznaczają zupełnie nową jakość życia.

Zespół doświadczonych chirurgów i protetyków

Zespół DMC tworzą doświadczeniu chirurdzy i protetycy. Dzięki ich umiejętnościom cały zabieg przebiega sprawnie i kończy się sukcesem. Pacjent otrzymuje nowy uśmiech, a przede wszystkim odzyskuje dawną pewność siebie i komfort gryzienia.

Najnowocześniejszy na rynku sprzęt do badań 3D

W DMC stawiamy tylko na nowoczesne rozwiązania. Dzięki sprzętowi do badań 3D nowej generacji możemy precyzyjnie zwizualizować struktury i patologie zębowe. Dzięki temu powstaje dokładny plan leczenia, co jest ważne w przypadku metody All-on-X.

Możliwość rozłożenia na raty – PayU Raty

Metoda All-on-X zapewnia oszczędność środków. Zdajemy sobie jednak sprawę, że nie zawsze istnieje możliwość dokonania jednorazowej opłaty za wykonaną usługę. Osoby, które obawiają się o koszty zabiegu, mogą więc rozłożyć płatność na dogodne raty – PayU Raty.

Co to jest metoda All-on-X

Odbudowa braków zębowych metodą All-on-X polega na wszczepieniu w łuku zębowym czterech lub sześciu implantów. Jeszcze tego samego dnia są osadzane zęby, co stanowi ogromną oszczędność czasu. Dużą zaletą tego rozwiązania jest to, że w większości przypadków nie ma konieczności wykonywania dodatkowych, kosztownych zabiegów regeneracji kości. Mniejsza liczba użytych implantów oraz ich precyzyjne umieszczenie sprawdza się nawet w bardziej skomplikowanych przypadkach. Metoda All-on-X oznacza koniec z długotrwałym, bolesnym leczeniem. Pozwala odzyskać pełną funkcjonalność uzębienia w ciągu jednego dnia!

Dlaczego warto

Metoda All-on-X świetnie sprawdza się nawet przy dużych brakach w uzębieniu i pozwala odzyskać piękny uśmiech.

Szybkie efekty

Wszczepienie implantów oraz osadzenie protezy odbywają się podczas jednej wizyty, więc pacjent od razu wychodzi z pięknym, pełnym uśmiechem.

Zabieg jest bezbolesny

Zabiegi zawsze przeprowadzane są w znieczuleniu miejscowym.

Atrakcyjna cena

Tradycyjne leczenie implantologiczne często wymaga kosztownej rekonstrukcji kości i kilku wizyt – jednorazowy zabieg pozwala ograniczyć te wydatki.

Nasi stomatolodzy

W naszej pracy wyznajemy zasadę, że sukces leczenia tkwi w holistycznym podejściu i pracy zespołowej. W Dental Medicenter zgromadziliśmy ekspertów z różnych dziedzin stomatologii, którzy na bieżąco konsultują ze sobą plany leczenia. Dzięki temu, łącząc wiedzę i doświadczenie całego konsylium, jesteśmy w stanie skutecznie pomóc pacjentom nawet w najbardziej skomplikowanych i wymagających przypadkach.

Agnieszka Szydłowska

Właścicielka Dental Medicenter, Lekarz dentysta, Implantologia, Protetyka

Bartosz Matejkowski

Lekarz dentysta, Koordynator Zespołu Implantologicznego, Lekarz stomatolog, Implantologia, Protetyka

Krzysztof Ofczarski

Lekarz dentysta, Endodoncja, Chirurgia, Implantologia

Adrian Jurek

Lekarz dentysta, Periodontologia, Chirurgia, Implantologia

Marcin Białobrzeski

Lekarz dentysta, Stomatologia zachowawcza, Protetyka, Stomatologia estetyczna

Cennik

Konsultacja specjalistyczna200 zł
Wszczepienie Implantuod 3 900 zł
Korona na implancie od 3 500zł
Łącznik do koronyod 1 400zł
Zabieg + most tymczasowy (w cenę zabiegu wliczone są wszystkie niezbędne procedury takie jak znieczulenie, ekstrakcja, implantacja, odbudowa kości)39 000 zł
Most docelowy (po 4-6 miesiącach)29 000 zł

Ciesz się wymarzonym uśmiechem!

Umów się na konsultację

Uśmiech w jeden dzień – metodą All-on-X

Innowacyjna metoda All-on-X to dla pacjentów z dużymi ubytkami lub całkowitym bezzębiem doskonałe rozwiązanie. Efekt, jakim jest naturalny uśmiech, widać już tego samego dnia. 

Nikt tak dobrze nie przywraca komfortu codziennego życia jak eksperci z DMC. Nasz zespół implantologiczny tworzą wybitni specjaliści w swojej dziedzinie, którzy stale doskonalą swoje umiejętności. Korzystają z najlepszych szkoleń w Polsce i za granicą. Dzięki temu możemy proponować pacjentom nowe metody leczenia. W DMC masz pewność, że jesteś w dobrych rękach – do każdego przypadku podchodzimy indywidualnie.

Metamorfoza lek. stom. Agnieszka Szydłowska

PRZED PO

Zostały wykonane trzy korony pełnoceramiczne oraz jedna licówka ceramiczna o minimalnej preparacji.

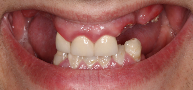
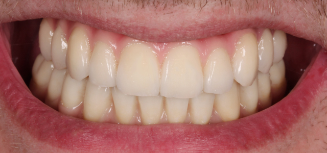
Metamorfoza lek. stom. Bartosz Matejkowski

PRZED PO

2 korony pełnoceramiczne na lewej i prawej górnej jedynce.

Metamorfoza lek. stom. Agnieszka Szydłowska

PRZED PO

Ekspresowa odbudowa kompozytem wykonana w ciągu jednej wizyty – ENAMEL zębów górnych od 3 do 3.

Metamorfoza lek. stom. Agnieszka Szydłowska

PRZED PO

Zostało wykonanych pięć koron pełnoceramicznych oraz jedna licówka ceramiczna o minimalnej preparacji.

Metamorfoza lek. stom. Agnieszka Szydłowska

PRZED PO

4 korony pełnoceramiczne z indywidualnym doborem koloru i kształtu.

Metamorfoza hig. stom. Edyta Bielecka-Świtek

PRZED PO

Profesjonalna higienizacja jamy ustnej.

Metamorfoza lek. stom. Bartosz Matejkowski

PRZED PO

Sześć koron pełnoceramicznych oraz jedna licówka pełnoceramiczna o minimalnej preparacji.

Metamorfoza lek. stom. Bartosz Matejkowski

PRZED PO

Protetyczna część metamorfozy została wykonana przez lek. stom. Bartosza Matejkowskiego.

Metamorfoza lek. stom. Paula Sztejna

PRZED PO

Wybielanie zębów systemem PrevDent.

Metamorfoza lek. stom. Paula Sztejna

PRZED PO

Wybielanie zębów systemem PrevDent.